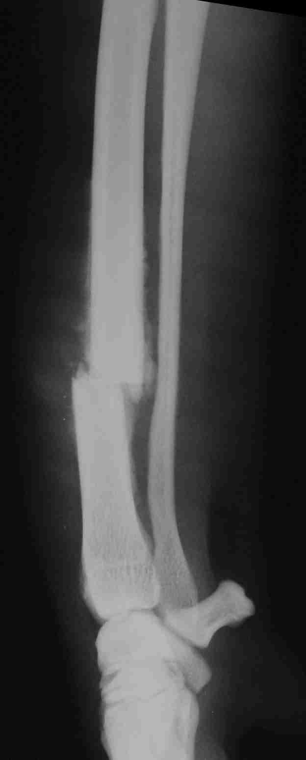
כלב שהגיע למרפאה עם תלונה של צליעה על רגל קדמית במשך מספר שבועות. בצילום הרנטגן ניתן לראות שעצם האמה נשברה והחל תהליך עצמי של קיבוע השבר ע"י רקמות הגוף – נראה כעננות בהירה סביב לאזור השבר. ייתכן שאם הכלב היה מגיע בזמן הפגיעה, ניתן היה לקבע את הרגל בצורה טובה יותר. נסיון לקבע את הרגל טוב יותר בשלב כזה – דורש שבירה מחודשת של העצם.





